Osteosarcoma / Bone Cancer in Rabbits

Sadly, from time to time, rabbits can be affected cancer which can take many different forms. Osteosarcoma is a relatively common cancer in dogs and cats, but is rarer in rabbits.

What is osteosarcoma?

Osteosarcoma is a primary bone cancer that is malignant and particularly aggressive in its disease progression. It is found in virtually all mammals and it is thought that there is a hereditary component to acquiring this disease so it can be seen more commonly in some breeds than others.

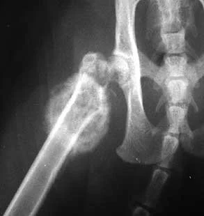
A rabbit with osteosarcoma usually shows severe lameness and swelling of one of the limbs. The rabbit may also have a fever, depression and lack of appetite or an obvious fracture may appear unexpectedly. Bone pain is extremely severe.

Osteosarcoma almost always originates in the joints of the limbs. In rabbits, it carries a high risk of metastasis (spreading of the cancer from the primary site to other areas in the body), usually to the lungs/pulmonary system.

What causes osteosarcoma?

The causes are not known, although as with other cancers, it is thought that chronic inflammation of the surrounding tissue could be a factor leading to the disease. Hereditary and congenital causes may also contribute.

What will happen if my rabbit has osteosarcoma?

Care for the rabbit with osteosarcoma usually involves immediate pain control followed by diagnostic testing. Diagnosis of osteosarcoma usually begins with a to general anaesthetic to immobilise the rabbit, then X-Rays are taken of the painful area. If osteosarcoma is suspected from the radiograph, a chest radiograph may also be taken to see if the disease has spread to the lungs or other areas of the body. If there is no evidence of the disease spreading, a biopsy of the tissues (to extract some of the cells for microscopic examination) can confirm the diagnosis and help ensure that appropriate treatment is given.

Can osteosarcoma be treated?

As this disease is highly metastatic (spreads readily), rapid treatment is needed and even with treatment, survival may not extend more than a few months past diagnosis. Surgical removal of the tumour is the primary treatment and total limb amputation is common to remove all of the affected tissue. Amputation prevents the primary tumour from spreading, but it is not always a curative treatment since metastasis may have already occurred before any signs of disease. By the time the disease is diagnosed, invisible microscopic tumours may have already seeded in the lungs or other areas of the body.

Recovery after amputation usually takes up to 6 weeks and rabbits typically cope very well with three legs. It is usually easiest for the rabbit if a hindleg is amputated, but even if a front leg is removed, the rabbit can get around quite comfortably. Radiation and chemotherapy may also be used to halt growth of microscopic tumours that may have spread before or during surgery; however, side effects from chemotherapy are so severe that if metastasis is confirmed, euthanasia may be a more humane option.

A few weeks after surgery, follow up radiographs of the chest may be indicated to ensure that metastasis hasn't taken place.

How can Osteosarcoma be prevented?

There is no prevention of osteosarcoma, but as chronic inflammation could be a factor leading to the disease, early and effective treatment of wounds and bone disorders, eg arthritis, may be beneficial to prevent tumours from developing.
Source: Vetlexicon

Further Reading:

"The word sarcoma comes from the Greek and means “fleshy excrescence”. It
describes a group of malignant tumors in which a primitive mesenchymal cell can
evolve in several directions and, thus, into different types of sarcomas... "
Probable Periosteal Osteosarcoma in a Rabbit - Esther van Praag, MediRabbit

"Osteogenic sarcomas are rare in rabbits, but cases involving the mandible, ribs, frontal bones, and tibia have been reported..."
Osteosarcoma with multiple metastases and subcutaneous involvement in a rabbit - PubMed

Previous
Previous

Omlet & Zippi Setups Showcase

Next
Next

Outdoor Setups